×
Close
Sign Up
Login
Home
Library S
Library D
Events & Partner
WeMed
MDLA Events Platform
Events
Media Partners
Educational Partner
User Tools
FAQ/USER GUIDE
Language
English
中文/ Chinese
French
Português
Español
Arabic
Russian
Contact Us
×
Close
mdla_1
mdla_2
mdla_3
mdla_4
mdla_5
mdla_6
Categories
Endocrinology, Metabolism & Nutrition
24508
Global Medical University
5183
Allergy
1797
Anatomy & Morphology
1557
Andrology
379
Anesthesia & Intensive Care
1283
Anesthesiology
5482
Audiology & Speech-Language Pathology
347
Behavioral Sciences
100
Biochemical Research Methods
7151
Biochemistry & Molecular Biology
30003
Biodiversity Conservation
325
Biology
8451
Biophysics
8235
Biotechnology & Applied Microbiology
8619
Cardiac & Cardiovascular Systems
31104
Cardiovascular & Respiratory Systems
1386
Cell & Tissue Engineering
698
Cell Biology
11205
Chemistry, Analytical
4295
Chemistry, Applied
10944
Chemistry, Medicinal
8741
Chemistry, Multidisciplinary
18552
Clinical Immunology & Infectious Disease
454
Clinical Medicine
8956
Clinical Neurology
16633
Clinical Psychology & Psychiatry
1312
Critical Care Medicine
3207
Dentistry, Oral Surgery & Medicine
13516
Dermatology
7470
Developmental Biology
6919
Ecology
645
Education, Scientific Disciplines
2077
Emergency Medicine
4091
Engineering, Biomedical
3763
Entomology
450
Environmental Medicine & Public Health
4726
Evolutionary Biology
268
Gastroenterology & Hepatology
12230
General & Internal Medicine
6967
Genetics & Heredity
15104
Geriatrics & Gerontology
5137
Gerontology
370
Health Care Sciences & Services
16195
Health Policy & Services
651
Hematology
5614
Immunology
24753
Infectious Diseases
13994
Integrative & Complementary Medicine
2935
Medical Ethics
1224
Medical Informatics
2273
Medical Laboratory Technology
419
Medicine, General & Internal
44296
Medicine, Legal
532
Medicine, Research & Experimental
17759
Microbiology
23301
Mycology
0
Nanoscience & Nanotechnology
5442
Neuroimaging
1396
Neurology
4550
Neurosciences
39758
Nursing
9717
Nutrition & Dietetics
7868
Obstetrics & Gynecology
8295
Oncology
52298
Ophthalmology
9732
Optics
4271
Orthopedics
11783
Orthopedics, Rehabilitation & Sports Medicine
1818
Otolaryngology
1592
Otorhinolaryngology
4868
Parasitology
1125
Pathology
5114
Pediatrics
21654
Peripheral Vascular Disease
4833
Pharmacology & Pharmacy
35348
Pharmacology/Toxicology
12123
Physiology
8907
Polymer Science
533
Primary Health Care
871
Psychiatry
19103
Psychology
5220
Psychology, Applied
112
Psychology, Biological
389
Psychology, Clinical
812
Psychology, Developmental
244
Psychology, Educational
169
Psychology, Experimental
166
Psychology, Mathematical
0
Psychology, Multidisciplinary
1688
Psychology, Psychoanalysis
30
Psychology, Social
119
Public Health & Health Care Science
2248
Public, Environmental & Occupational Health
27118
Quantum Science & Technology
0
Radiology, Nuclear Medicine & Imaging
12411
Radiology, Nuclear Medicine & Medical Imaging
8121
Rehabilitation
3059
Remote Sensing
0
Reproductive Biology
2865
Reproductive Medicine
1201
Research/Laboratory Medicine & Medical Technology
3974
Respiratory System
7431
Rheumatology
6057
Social Sciences, Biomedical
1203
Substance Abuse
2758
Surgery
33806
Toxicology
4444
Transplantation
948
Tropical Medicine
300
Urology & Nephrology
13036
Veterinary Sciences
35
Virology
2505
Zoology
0
Channels
ENDOCRINE PATHOLOGY
195
NEJM Endocrinology
9
Medrxiv - Endocrinology Medrxiv
464
AMERICAN JOURNAL OF PHYSIOLOGY-CELL PHYSIOLOGY
449
BEST PRACTICE & RESEARCH CLINICAL ENDOCRINOLOGY & METABOLISM
234
BIOLOGY OF SEX DIFFERENCES
188
BMJ OPEN DIABETES RESEARCH & CARE
392
BONE
0
CALCIFIED TISSUE INTERNATIONAL
353
CARDIOVASCULAR DIABETOLOGY
629
CURRENT DIABETES REPORTS
173
CURRENT OBESITY REPORTS
148
CURRENT OPINION IN ENDOCRINOLOGY DIABETES AND OBESITY
160
CURRENT OPINION IN LIPIDOLOGY
127
CURRENT OSTEOPOROSIS REPORTS
208
DIABETES
134
DIABETES & METABOLISM
221
DIABETES & METABOLISM JOURNAL
40
DIABETES CARE
194
DIABETES METABOLIC SYNDROME AND OBESITY-TARGETS AND THERAPY
977
DIABETES OBESITY & METABOLISM
293
DIABETES RESEARCH AND CLINICAL PRACTICE
0
DIABETES-METABOLISM RESEARCH AND REVIEWS
105
DIABETIC MEDICINE
215
DIABETOLOGIA
527
ENDOCRINE
676
ENDOCRINE PRACTICE
643
EUROPEAN THYROID JOURNAL
14
FRONTIERS IN ENDOCRINOLOGY
5631
HORMONES AND BEHAVIOR
333
JOURNAL OF BONE AND MINERAL RESEARCH
173
JOURNAL OF DIABETES
88
JOURNAL OF DIABETES INVESTIGATION
241
JOURNAL OF ENDOCRINOLOGICAL INVESTIGATION
628
JOURNAL OF HUMAN NUTRITION AND DIETETICS
94
JOURNAL OF NEUROENDOCRINOLOGY
106
JOURNAL OF PARENTERAL AND ENTERAL NUTRITION
235
LANCET DIABETES & ENDOCRINOLOGY
0
METABOLISM-CLINICAL AND EXPERIMENTAL
10
MOLECULAR METABOLISM
563
NATURE REVIEWS ENDOCRINOLOGY
430
NEUROENDOCRINOLOGY
148
NUTRITION & DIABETES
110
OBESITY
133
OBESITY REVIEWS
115
PEDIATRIC DIABETES
77
PSYCHONEUROENDOCRINOLOGY
0
THERAPEUTIC ADVANCES IN ENDOCRINOLOGY AND METABOLISM
31
ARCHIVES OF ENDOCRINOLOGY METABOLISM
0
CLINICAL ENDOCRINOLOGY
171
DIABETES & VASCULAR DISEASE RESEARCH
16
DIABETOLOGY & METABOLIC SYNDROME
506
ENDOCRINOLOGIA DIABETES Y NUTRICION
402
GENERAL AND COMPARATIVE ENDOCRINOLOGY
0
INTERNATIONAL JOURNAL OF SPORT NUTRITION AND EXERCISE METABOLISM
170
JOURNAL OF BIOLOGICAL REGULATORS AND HOMEOSTATIC AGENTS
139
JOURNAL OF CLINICAL DENSITOMETRY
264
JOURNAL OF DIABETES AND ITS COMPLICATIONS
451
NEUROIMMUNOMODULATION
82
OBESITY FACTS
160
REPRODUCTIVE BIOLOGY AND ENDOCRINOLOGY
392
WORLD REVIEW OF NUTRITION AND DIETETICS
30
HORMONE AND METABOLIC RESEARCH
348
NEUROPEPTIDES
181
THYROID RESEARCH
97
REVISTA DE OSTEOPOROSIS Y METABOLISMO MINERAL
44
BRITISH JOURNAL OF DIABETES
115
CLINICAL MEDICINE INSIGHTS-ENDOCRINOLOGY AND DIABETES
20
CLINICAL OBESITY
33
CLINICAL REVIEWS IN BONE AND MINERAL METABOLISM
38
DIABETOLOGY INTERNATIONAL
208
JOURNAL OF DIABETES AND METABOLIC DISORDERS
536
JOURNAL OF DIABETOLOGY
126
JOURNAL OF THE ASEAN FEDERATION OF ENDOCRINE SOCIETIES
197
OBESITY SCIENCE & PRACTICE
87
PITUITARY
278
OSTEOPOROSIS INTERNATIONAL
585
REVIEWS IN ENDOCRINE & METABOLIC DISORDERS
270
DIABETES THERAPY
462
HORMONES-INTERNATIONAL JOURNAL OF ENDOCRINOLOGY AND METABOLISM
278
INTERNATIONAL JOURNAL OF DIABETES IN DEVELOPING COUNTRIES
352
METABOLIC BRAIN DISEASE
556
SCI Abstract
search
ALL
RECOMMENDED
+
Prevalence and Clinical Impact of p.V600E Mutation in Papillary Thyroid Carcinoma
Identifying risk factors in papillary thyroid carcinoma (PTC) that warrant more aggressive treatment is paramount. Importa...
Endocrine Pathology
comment
0
thumb_up
0
Identification of Specific Biomarkers for Anaplastic Thyroid Carcinoma Through Spatial Transcriptomic and Immunohistochemical Profiling
Anaplastic thyroid carcinoma (ATC) is an aggressive malignancy with a poor prognosis. Despite its rarity, identifying pred...
Endocrine Pathology
comment
0
thumb_up
0
Amplification a Risk Stratification Marker in Papillary Thyroid Carcinoma, Significantly Correlated with Tumor Recurrence and Survival
Few studies have analyzed the prevalence of TERT amplification in thyroid cancer, showing discrepancies in various topics....
Endocrine Pathology
comment
0
thumb_up
0
Is Ectopic Cushing Syndrome Commonly Associated with Small Cell Lung Cancer (SCLC)? Critical Review of the Literature and ACTH Expression in Resected SCLC
The literature emphasizes that pulmonary ectopic Cushing syndrome (ECS) is associated not only with neuroendocrine tumors ...
Endocrine Pathology
comment
0
thumb_up
0
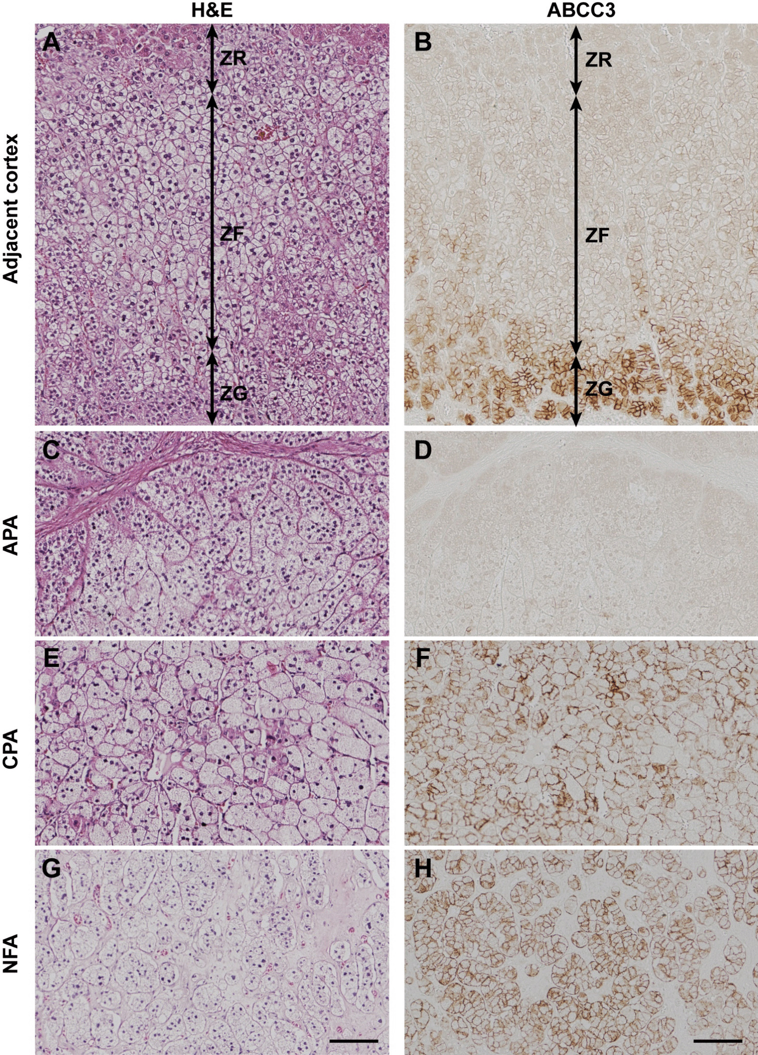
ABCC3 Is a Differential Marker of CYP11B2-Negative Zona Glomerulosa Cells in Human Adrenal Cortex
ATP Binding Cassette Subfamily C Member 3 (ABCC3) is a membrane transporter that exports diverse compounds, influencing dr...
Endocrine Pathology
comment
0
thumb_up
0
Clinicopathological Correlates of Hormone Expression-Based Subtypes of Non-Functioning Duodenal/Ampullary Neuroendocrine Tumors: A Multicenter Study of 151 Cases
Duodenal neuroendocrine tumors (Duo-NETs) may arise in the ampullary and non-ampullary duodenum. Non-functioning Duo-NETs ...
Endocrine Pathology
comment
0
thumb_up
0
Three Synchronous Pituitary Neuroendocrine Tumors—Epigenomics Confirm an Exceptional Triple PitNET
Histopathology revealed three distinct tumor components (Fig. 1C). The first component was characterized by scant infiltra...
Endocrine Pathology
comment
0
thumb_up
0
Focal High-Grade Areas with a Tumor-in-Tumor Pattern: Another Feature of Pediatric -Associated Thyroid Carcinoma?
In the thyroid gland, during childhood or adolescence, DICER1-driven tumors include differentiated follicular thyroid carc...
Endocrine Pathology
comment
0
thumb_up
0
Reticulin Framework Assessment in Neoplastic Endocrine Pathology
The reticulin framework, composed mainly of type III collagen, is an essential structural component of biological tissues....
Endocrine Pathology
comment
0
thumb_up
0
A Novel Three-Stage AI-Assisted Approach for Accurate Differential Diagnosis and Classification of NIFTP and Thyroid Neoplasms
The recent introduction of the term non-invasive follicular thyroid neoplasm with papillary-like nuclear features (NIFTP) ...
Endocrine Pathology
comment
0
thumb_up
0
Extended Hormone Profiling Identifies a Wider Network of Duodenal Neuroendocrine Tumor Subtypes
We studied transcription factors and hormones expressed by duodenal neuroendocrine cells in a consecutively diagnosed seri...
Endocrine Pathology
comment
0
thumb_up
0
Prognostic Features in Surgically Resected Well-Differentiated Pancreatic Neuroendocrine Tumors: an Analysis of 904 Patients with 7882 Person-Years of Follow-Up
The clinical behavior of well-differentiated pancreatic neuroendocrine tumors (PanNETs) is difficult to predict. In order ...
Endocrine Pathology
comment
0
thumb_up
0
Roadmap to Challenges in Limited Cellularity Specimens from Pancreatic Neuroendocrine Neoplasms: Diagnostic Tools for the Most Appropriate Management of Limited Material
Fine needle aspiration (FNA) and fine needle biopsy (FNB) procedures are increasingly employed in the diagnostic work-up o...
Endocrine Pathology
comment
0
thumb_up
0
Expression of DLL3 and SEZ6 in the Spectrum of Neuroendocrine Neoplasia
Delta-like protein 3 (DLL3), a Notch ligand, has been identified in high-grade small- and large-cell lung carcinomas and p...
Endocrine Pathology
comment
0
thumb_up
0
Reappraisal of Neuroendocrine Tumor Classification of the Prostate Gland: Translating Molecular Insights into Clinical Practice
Neuroendocrine tumors (NETs) of the prostate gland represent a distinct entity within the spectrum of prostate cancer, cha...
Endocrine Pathology
comment
0
thumb_up
0
Exploring Intratumoral Heterogeneity in Mixed Neuroendocrine-Nonneuroendocrine Neoplasms with Spatial Transcriptomics: Even More Diverse Than Anticipated
Mixed neuroendocrine–nonneuroendocrine neoplasms (MiNEN) are usually highly aggressive tumors characterized by marke...
Endocrine Pathology
comment
0
thumb_up
0
Progression of Follicular Thyroid Carcinomas to Anaplastic Thyroid Carcinomas: Molecular and Clinicopathologic Characteristics with Comparison to Papillary Thyroid Carcinoma-Derived Anaplastic Thyroid Carcinomas
Although anaplastic thyroid carcinomas (ATCs) typically arise from papillary thyroid carcinomas (PTCs), follicular thyroid...
Endocrine Pathology
comment
0
thumb_up
0
DICER1-Related Pediatric Thyroid Neoplasm with Follicular and Morular Growth: A Tumor that Did Not Read the Textbook
Thyroid lesions associated with DICER1 syndrome include multifocal hyperplastic and benign neoplastic proliferations (foll...
Endocrine Pathology
comment
0
thumb_up
0
Diagnostic Evaluation of Anaplastic Thyroid Carcinoma in Core Biopsy Specimens: Morphologic, Immunohistochemical, Molecular, and Therapeutic Considerations
Although a diagnosis of anaplastic thyroid carcinoma (ATC) can be rendered on fine needle aspiration (FNA), a core needle ...
Endocrine Pathology
comment
0
thumb_up
0
The Potential Utility of RAS Q61R Immunohistochemistry as a Screening Tool in Pre-operative Fine Needle Aspirates of Medullary Thyroid Carcinoma
Medullary thyroid carcinoma (MTC) can either be sporadic, often via mutually exclusive RET or RAS alterations, or inherite...
Endocrine Pathology
comment
0
thumb_up
0
Effective Preparation of FFPE Tissue Samples for Preserving Appropriate Nucleic Acid Quality for Genomic Analysis in Thyroid Carcinoma
Formalin-fixed paraffin-embedded (FFPE) tissue samples are important for genomic analysis of thyroid carcinomas, particula...
Endocrine Pathology
comment
0
thumb_up
0
Mitochondrial Proteome Defined Molecular Pathological Characteristics of Oncocytic Thyroid Tumors
Oncocytic thyroid tumors are characterized by an elevated mitochondrial density within the cells, distinguishing them from...
Endocrine Pathology
comment
0
thumb_up
0
SATB2 is an Emergent Biomarker of Anaplastic Thyroid Carcinoma: A Series with Comprehensive Biomarker and Molecular Studies
Anaplastic thyroid carcinoma (ATC) is a rare and aggressive thyroid malignancy typically comprised of undifferentiated tum...
Endocrine Pathology
comment
0
thumb_up
0
Clinicopathologic and Molecular Analysis of 15 Pediatric and Young Adult Patients with High-Grade Non-anaplastic Thyroid Carcinoma
High-grade follicular cell–derived non-anaplastic thyroid carcinomas are uncommon and typically diagnosed in the six...
Endocrine Pathology
comment
0
thumb_up
0
Insights into Biologic Evolution of Grade 3 Neuroendocrine Tumors Reflect Classification Challenges
In the IARC/WHO classification framework of neuroendocrine neoplasms (NENs), high-gra...
Endocrine Pathology
comment
0
thumb_up
0
Cauda Equina Neuroendocrine Tumors with Ganglioneuromatous Elements are Best Classified as Composite Gangliocytoma/Neuroma and Neuroendocrine Tumor (COGNET)
Ethics Approval For this article, an ethic approval is not ...
Endocrine Pathology
comment
0
thumb_up
0
Multilineage Pituitary Neuroendocrine Tumors Expressing TPIT and SF1: A Clinicopathological Series of Six Tumors
Tumors of adenohypophysial hormone-secreting cells, now classified as pituitary neuroendocrine tumors (PitNETs), have been...
Endocrine Pathology
comment
0
thumb_up
0
Rapid Evolution of Metastases in Patients with Treated G3 Neuroendocrine Tumors Associated with NEC-Like Transformation and TP53 Mutation
Little is known about the morphomolecular features of G3 neuroendocrine tumors (G3NETs) under prolonged systemic treatment...
Endocrine Pathology
comment
0
thumb_up
0
Glucagon-Producing Pancreatic Neuroendocrine Tumors (Glucagonomas) are Enriched in Aggressive Neoplasms with ARX and PDX1 Co-expression, DAXX/ATRX Mutations, and ALT (Alternative Lengthening of Telomeres)
Glucagonomas are functioning pancreatic neuroendocrine tumors (PanNETs) responsible for glucagonoma syndrome. This study a...
Endocrine Pathology
comment
0
thumb_up
0
Unravelling the Reasons Behind Limited Response to Anti-PD Therapy in ATC: A Comprehensive Evaluation of Tumor-Infiltrating Immune Cells and Checkpoints
Inhibiting the immune checkpoint (ICP) PD-1 based on PD-L1 expression status has revolutionized the treatment of various c...
Endocrine Pathology
comment
0
thumb_up
0
Load More
Modal title
×
Modal title
×
Share
Login
Global News and Health Forum
Join Now!
Member Login
Remember me
Forgot password?
Or using
Linkedin