×
Close
Sign Up
Login
Home
Library S
Library D
Events & Partner
WeMed
MDLA Events Platform
Events
Media Partners
Educational Partner
User Tools
FAQ/USER GUIDE
Language
English
中文/ Chinese
French
Português
Español
Arabic
Russian
Contact Us
×
Close
mdla_1
mdla_2
mdla_3
mdla_4
mdla_5
mdla_6
Categories
Dentistry, Oral Surgery & Medicine
13543
Global Medical University
5199
Allergy
1797
Anatomy & Morphology
1558
Andrology
379
Anesthesia & Intensive Care
1281
Anesthesiology
5489
Audiology & Speech-Language Pathology
347
Behavioral Sciences
100
Biochemical Research Methods
7164
Biochemistry & Molecular Biology
30064
Biodiversity Conservation
326
Biology
8474
Biophysics
8267
Biotechnology & Applied Microbiology
8592
Cardiac & Cardiovascular Systems
31182
Cardiovascular & Respiratory Systems
1389
Cell & Tissue Engineering
699
Cell Biology
11221
Chemistry, Analytical
4276
Chemistry, Applied
10983
Chemistry, Medicinal
8755
Chemistry, Multidisciplinary
18546
Clinical Immunology & Infectious Disease
454
Clinical Medicine
8966
Clinical Neurology
16638
Clinical Psychology & Psychiatry
1318
Critical Care Medicine
3216
Dermatology
7472
Developmental Biology
6939
Ecology
645
Education, Scientific Disciplines
2082
Emergency Medicine
4095
Endocrinology, Metabolism & Nutrition
24548
Engineering, Biomedical
3777
Entomology
454
Environmental Medicine & Public Health
4728
Evolutionary Biology
268
Gastroenterology & Hepatology
12261
General & Internal Medicine
6990
Genetics & Heredity
15125
Geriatrics & Gerontology
5153
Gerontology
370
Health Care Sciences & Services
16197
Health Policy & Services
654
Hematology
5638
Immunology
24812
Infectious Diseases
13995
Integrative & Complementary Medicine
2945
Medical Ethics
1224
Medical Informatics
2277
Medical Laboratory Technology
419
Medicine, General & Internal
44360
Medicine, Legal
532
Medicine, Research & Experimental
17793
Microbiology
23331
Mycology
0
Nanoscience & Nanotechnology
5429
Neuroimaging
1413
Neurology
4571
Neurosciences
39918
Nursing
9732
Nutrition & Dietetics
7886
Obstetrics & Gynecology
8300
Oncology
52411
Ophthalmology
9752
Optics
4274
Orthopedics
11801
Orthopedics, Rehabilitation & Sports Medicine
1820
Otolaryngology
1592
Otorhinolaryngology
4896
Parasitology
1132
Pathology
5117
Pediatrics
21663
Peripheral Vascular Disease
4842
Pharmacology & Pharmacy
35373
Pharmacology/Toxicology
12154
Physiology
8926
Polymer Science
533
Primary Health Care
872
Psychiatry
19178
Psychology
5235
Psychology, Applied
112
Psychology, Biological
391
Psychology, Clinical
812
Psychology, Developmental
244
Psychology, Educational
169
Psychology, Experimental
167
Psychology, Mathematical
0
Psychology, Multidisciplinary
1688
Psychology, Psychoanalysis
30
Psychology, Social
119
Public Health & Health Care Science
2258
Public, Environmental & Occupational Health
27170
Quantum Science & Technology
0
Radiology, Nuclear Medicine & Imaging
12441
Radiology, Nuclear Medicine & Medical Imaging
8137
Rehabilitation
3064
Remote Sensing
0
Reproductive Biology
2857
Reproductive Medicine
1202
Research/Laboratory Medicine & Medical Technology
3997
Respiratory System
7438
Rheumatology
6053
Social Sciences, Biomedical
1204
Substance Abuse
2762
Surgery
33893
Toxicology
4444
Transplantation
948
Tropical Medicine
300
Urology & Nephrology
13069
Veterinary Sciences
35
Virology
2511
Zoology
0
Channels
ORAL AND MAXILLOFACIAL SURGERY-HEIDELBERG
309
Journal of Maxillofacial and Oral Surgery
512
Medrxiv - Dentistry And Oral Medicine Medrxiv
194
CLINICAL IMPLANT DENTISTRY AND RELATED RESEARCH
44
DENTAL MATERIALS
496
INTERNATIONAL ENDODONTIC JOURNAL
119
JOURNAL OF CLINICAL PERIODONTOLOGY
111
JOURNAL OF DENTAL RESEARCH
99
JOURNAL OF DENTAL SCIENCES
778
JOURNAL OF DENTISTRY
763
ORAL ONCOLOGY
0
PERIODONTOLOGY 2000
21
ARCHIVES OF ORAL BIOLOGY
518
AUSTRALIAN DENTAL JOURNAL
47
AUSTRALIAN ENDODONTIC JOURNAL
107
BMC ORAL HEALTH
1318
BRAZILIAN ORAL RESEARCH
0
BRITISH DENTAL JOURNAL
617
CARIES RESEARCH
96
DENTAL TRAUMATOLOGY
44
EUROPEAN JOURNAL OF DENTAL EDUCATION
117
EUROPEAN JOURNAL OF ORAL SCIENCES
42
HEAD & FACE MEDICINE
133
INTERNATIONAL DENTAL JOURNAL
20
INTERNATIONAL JOURNAL OF DENTAL HYGIENE
68
INTERNATIONAL JOURNAL OF ORAL SCIENCE
159
JOURNAL OF ADHESIVE DENTISTRY
98
JOURNAL OF APPLIED ORAL SCIENCE
0
JOURNAL OF DENTAL EDUCATION
274
JOURNAL OF ESTHETIC AND RESTORATIVE DENTISTRY
104
JOURNAL OF ORAL PATHOLOGY & MEDICINE
83
JOURNAL OF ORAL REHABILITATION
106
JOURNAL OF PERIODONTAL RESEARCH
75
JOURNAL OF PERIODONTOLOGY
230
JOURNAL OF PROSTHETIC DENTISTRY
1071
JOURNAL OF PROSTHODONTIC RESEARCH
0
JOURNAL OF PROSTHODONTICS-IMPLANT ESTHETIC AND RECONSTRUCTIVE DENTISTRY
121
JOURNAL OF PUBLIC HEALTH DENTISTRY
35
JOURNAL OF THE CANADIAN DENTAL ASSOCIATION
57
MOLECULAR ORAL MICROBIOLOGY
17
ORAL DISEASES
275
ORAL HEALTH & PREVENTIVE DENTISTRY
95
ORTHODONTICS & CRANIOFACIAL RESEARCH
105
INTERNATIONAL JOURNAL OF ORAL AND MAXILLOFACIAL SURGERY
29
JOURNAL OF CRANIO-MAXILLOFACIAL SURGERY
391
JOURNAL OF EVIDENCE-BASED DENTAL PRACTICE
269
JOURNAL OF ORAL AND MAXILLOFACIAL SURGERY
29
JOURNAL OF THE AMERICAN DENTAL ASSOCIATION
17
SAUDI DENTAL JOURNAL
461
ROMANIAN JOURNAL OF ORAL REHABILITATION
127
APOS TRENDS IN ORTHODONTICS
152
CLINICAL ADVANCES IN PERIODONTICS
46
CLINICAL AND EXPERIMENTAL DENTAL RESEARCH
106
CONTEMPORARY CLINICAL DENTISTRY
20
CRANIOMAXILLOFACIAL TRAUMA & RECONSTRUCTION
29
DENTAL HYPOTHESES
89
DENTISTRY JOURNAL
283
EUROPEAN ARCHIVES OF PAEDIATRIC DENTISTRY
264
INTERNATIONAL JOURNAL OF ESTHETIC DENTISTRY
84
INTERNATIONAL JOURNAL OF MEDICAL DENTISTRY
240
JDR CLINICAL & TRANSLATIONAL RESEARCH
26
JOURNAL OF DENTISTRY INDONESIA
139
JOURNAL OF INDIAN PROSTHODONTIC SOCIETY
13
JOURNAL OF INTERNATIONAL SOCIETY OF PREVENTIVE AND COMMUNITY DENTISTRY
120
JOURNAL OF MAXILLOFACIAL & ORAL SURGERY
41
JOURNAL OF ORTHODONTICS
41
JOURNAL OF OSSEOINTEGRATION
75
MAXILLOFACIAL PLASTIC AND RECONSTRUCTIVE SURGERY
126
ODOVTOS INTERNATIONAL JOURNAL OF DENTAL SCIENCES
74
OPEN DENTISTRY JOURNAL
40
INTERNATIONAL JOURNAL OF IMPLANT DENTISTRY
165
ODONTOLOGY
279
ORAL RADIOLOGY
269
INTERNATIONAL JOURNAL OF STOMATOLOGY & OCCLUSION MEDICINE
21
SCI Abstract
search
ALL
RECOMMENDED
+
Advancing precision in bilateral sagittal split osteotomy: a pioneering perspective on minimizing inferior alveolar nerve injury through endoscopic visualization
Minimal invasive surgical procedures are popularized in various surgical fields, the utilization of endoscopic assisted te...
Oral And Maxillofacial Surgery-heidelberg
comment
0
thumb_up
0
Occurrence and outcomes of retrobulbar haematoma in 2149 orbital fracture patients
We identified the occurrence of acute retrobulbar haematoma (RBH) across a complete range of orbital fractures and determi...
Oral And Maxillofacial Surgery-heidelberg
comment
0
thumb_up
0
Fractal analysis of the mandibular ramus in class II and III patients undergoing orthognathic surgery: retrospective study trough cone-beam computed tomography
One of the challenges of orthognathic surgery (OS) is maintaining condylar position during osteosynthesis. It is believed ...
Oral And Maxillofacial Surgery-heidelberg
comment
0
thumb_up
0
Black bone and CT-like MRI-based delineation of fracture-prone regions in oral and maxillofacial trauma
To assess the effectiveness and feasibility of MRI-based delineation of fracture-prone regions in the oral and maxillofaci...
Oral And Maxillofacial Surgery-heidelberg
comment
0
thumb_up
0
Evaluating von mises stress distribution and deformation patterns in zygomaticomaxillary complex fractures- a finite element analysis study
The ZMC provides essential midfacial support through its tetrapod configuration and current clinical practice lacks consen...
Oral And Maxillofacial Surgery-heidelberg
comment
0
thumb_up
0
Variation of mandibular radiomorphometric indices in metastatic bone cancer patients undergoing antiresorptive treatment: a prospective study
The aim of this study was to identify and evaluate the changes of oral health and panoramic radiograph indexes in cancer p...
Oral And Maxillofacial Surgery-heidelberg
comment
0
thumb_up
0
Comparative evaluation of V-Loc knotless closure system and silk sutures in impacted mandibular third molar surgery: a split-mouth randomized controlled trial
Sutures are the most frequently utilized to ensure a watertight seal, reposition the flap to its natural alignment, provid...
Oral And Maxillofacial Surgery-heidelberg
comment
0
thumb_up
0
Does ultrasound guidance during arthrocentesis in women with disc displacement without reduction reduce procedure time and improve outcomes? A randomized clinical trial
The goal of using ultrasound-guided (USG) arthrocentesis is to reduce number of needle insertion attempts, which is hypoth...
Oral And Maxillofacial Surgery-heidelberg
comment
0
thumb_up
0
Interventions to minimize periodontal defect distal to second molar after mandibular third molar surgery: an overview of systematic reviews
This overview summarized different interventions that were performed for minimizing periodontal defects distal to the mand...
Oral And Maxillofacial Surgery-heidelberg
comment
0
thumb_up
0
The synergetic potential of gold nanoparticles and bone marrow stem cells in regeneration of tongue defects (An experimental study on Rats)
The tongue plays a vital role in physiological functions where tissue loss impairs the patient’s life, so regenerati...
Oral And Maxillofacial Surgery-heidelberg
comment
0
thumb_up
0
MR imaging evaluation of accidental third molar displacement into parapharyngeal space: a case report
Accidental displacement of impacted and non-erupted upper third molars into the maxillary sinus, buccal space, infratempor...
Oral And Maxillofacial Surgery-heidelberg
comment
0
thumb_up
0
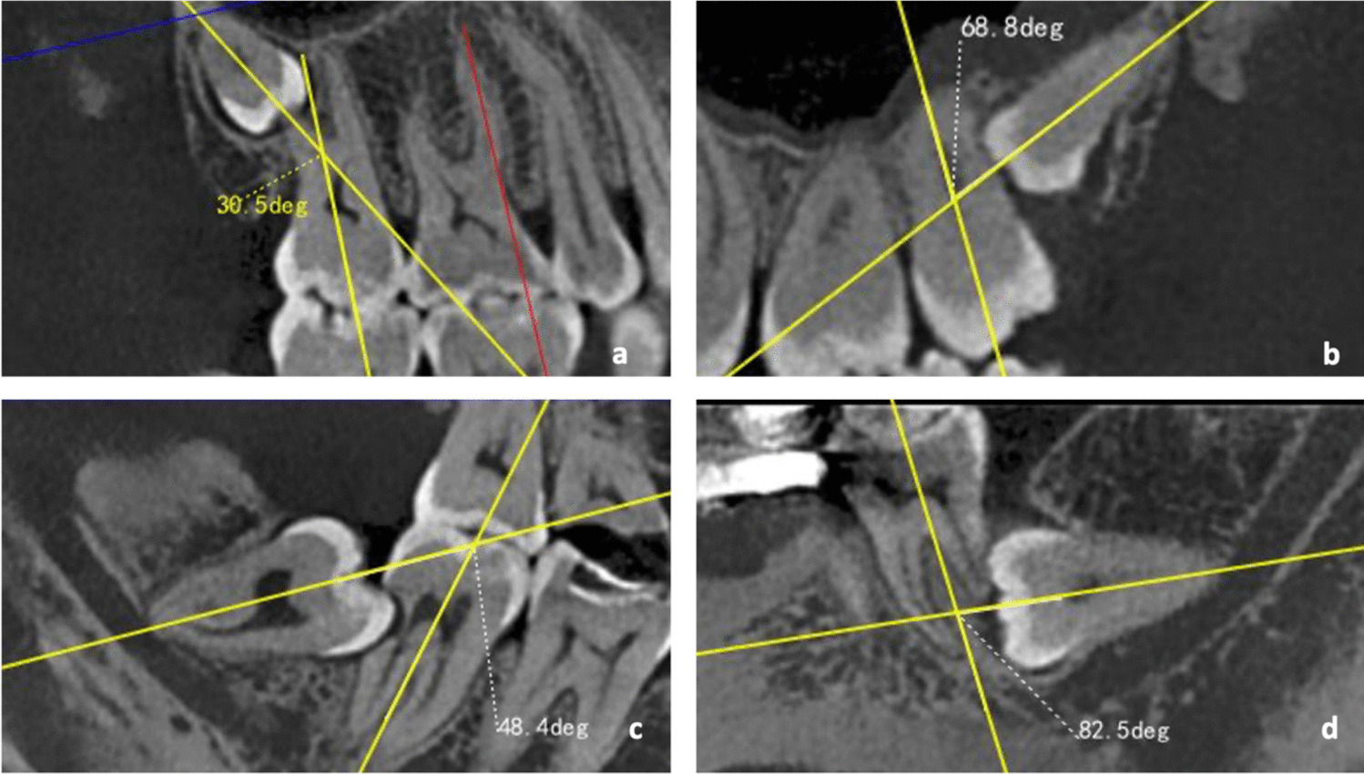
External root resorption of second molars caused by impacted third molars: CBCT characteristics
This study aims to describe the cone-beam computed tomography (CBCT) characteristics of external root resorption (ERR) in ...
Oral And Maxillofacial Surgery-heidelberg
comment
0
thumb_up
0
Enhancing submandibular gland resection: A retrospective study on the efficacy of the ORBEYE 3D exoscope
For submandibular gland resection, conventional surgery with the naked eye remains the standard. With its excellent automa...
Oral And Maxillofacial Surgery-heidelberg
comment
0
thumb_up
0
Ozone infiltration as an adjunctive treatment to piezoelectric surgery in the management of medication-related osteonecrosis of the jaws: case series of 29 patients
Medication-related osteonecrosis of the jaws has been reported to be associated with bisphosphonate and RANKL inhibitor me...
Oral And Maxillofacial Surgery-heidelberg
comment
0
thumb_up
0
Oral granular cell tumor: a collaborative clinicopathological study of 61 cases
Granular Cell Tumor (GCT) is an uncommon benign lesion in the oral cavity whose pathogenesis remains poorly understood. Du...
Oral And Maxillofacial Surgery-heidelberg
comment
0
thumb_up
0
Scapula harvest in the supine position for immediate mandibular reconstruction
The scapula is the second most popular donor site for mandibular reconstruction after the fibula. Scapula harvest is gener...
Oral And Maxillofacial Surgery-heidelberg
comment
0
thumb_up
0
Squamous cell carcinoma of mandibular gingiva producing both parathyroid hormone-related protein and granulocyte colony-stimulating factor: a case report
We describe a case of mandibular gingival carcinoma with hypercalcaemia and leukocytosis caused by tumour-derived parathyr...
Oral And Maxillofacial Surgery-heidelberg
comment
0
thumb_up
0
Mapping trends in preemptive analgesia related to oral surgery with the use of Ibuprofen: a comprehensive quantitative and qualitative analysis of bibliometric parameters
This study aims to conduct a thorough analysis, both quantitative and qualitative, of bibliometric parameters related to p...
Oral And Maxillofacial Surgery-heidelberg
comment
0
thumb_up
0
The adjunctive use of Leukocyte-Platelet Rich Fibrin (L-PRF) in the management of Medication Related Osteonecrosis of the Jaw (MRONJ): a retrospective observational study
Medication related osteonecrosis of the jaw (MRONJ) is a risk for patients taking anti-resorptive or anti-angiogenic medic...
Oral And Maxillofacial Surgery-heidelberg
comment
0
thumb_up
0
Effectiveness of tranexamic acid on intra- and postoperative bleeding in Bimaxillary osteotomies: a retrospective study
Perioperative bleeding is a serious concern during orthognathic surgery. Tranexamic acid (TXA), a synthetic lysine analog ...
Oral And Maxillofacial Surgery-heidelberg
comment
0
thumb_up
0
Prevalence of accessory mental foramen and lateral lingual foramen using cone beam computed tomography: A single-center cross-sectional study
This study aimed to assess the prevalence, dimensions, and positions of accessory mental foramen (AMF) and lateral lingual...
Oral And Maxillofacial Surgery-heidelberg
comment
0
thumb_up
0
Solitary fibrous tumor of the parapharyngeal space: report of 2 cases and a literature review
The solitary fibrous tumor (SFT) is usually described as a lesion arising from the pleura. Rarely, it has been described i...
Oral And Maxillofacial Surgery-heidelberg
comment
0
thumb_up
0
The success rates and outcomes of mandibular third molar coronectomy: 167 cases
The purpose of this study was to assess success rates and to report complications of coronectomy of mandibular third molar...
Oral And Maxillofacial Surgery-heidelberg
comment
0
thumb_up
0
Relationship between tumor thickness and GATA3 immunoexpression in lip and tongue squamous cell carcinomas
Lower lip squamous cell carcinomas (LLSCCs) exhibit lower levels of aggressiveness, low relations with metastases and bett...
Oral And Maxillofacial Surgery-heidelberg
comment
0
thumb_up
0
Health-related quality of life and satisfaction following orthognathic surgery: a prospective cohort study
This study investigates the motivations for orthognathic surgery and assesses the quality of life (QoL) and satisfaction a...
Oral And Maxillofacial Surgery-heidelberg
comment
0
thumb_up
0
Impact of the COVID-19 pandemic on maxillofacial trauma surgery in Germany - implications from the national DRG database
The COVID-19 pandemic has affected the personal and social lives of millions of people and also impacted the etiological f...
Oral And Maxillofacial Surgery-heidelberg
comment
0
thumb_up
0
Critical-sized marginal defects around implants in the rabbit mandible
The mandible of the rabbit is considered a reliable model to be used to study bone regeneration in defects. The aim of the...
Oral And Maxillofacial Surgery-heidelberg
comment
0
thumb_up
0
Prevalence of lingual sensory impairment following bilateral sagittal split osteotomy: a systematic review and meta-analysis
Our study aims to estimate the prevalence of lingual nerve injury following bilateral sagittal split osteotomy (BSSO). Two...
Oral And Maxillofacial Surgery-heidelberg
comment
0
thumb_up
0
Subperiosteal implants constructed with digital technology: A systematic review
Atrophied jaw is a condition where there is insufficient bone quantity and quality. Several treatment plans are available ...
Oral And Maxillofacial Surgery-heidelberg
comment
0
thumb_up
0
Mapping the landscape of oral cancer research trends: a systematic scientometric review of global efforts
The primary goal of this study was to assess the growth, most influential articles, countries, journals, authors, and pape...
Oral And Maxillofacial Surgery-heidelberg
comment
0
thumb_up
0
Load More
Modal title
×
Modal title
×
Share
Login
Global News and Health Forum
Join Now!
Member Login
Remember me
Forgot password?
Or using
Linkedin