×
Close
Sign Up
Login
Home
Library S
Library D
Events & Partner
WeMed
MDLA Events Platform
Events
Media Partners
Educational Partner
User Tools
FAQ/USER GUIDE
Language
English
中文/ Chinese
French
Português
Español
Arabic
Russian
Contact Us
×
Close
mdla_1
mdla_2
mdla_3
mdla_4
mdla_5
mdla_6
Categories
Chemistry, Analytical
4295
Global Medical University
5183
Allergy
1797
Anatomy & Morphology
1557
Andrology
379
Anesthesia & Intensive Care
1283
Anesthesiology
5469
Audiology & Speech-Language Pathology
347
Behavioral Sciences
100
Biochemical Research Methods
7147
Biochemistry & Molecular Biology
29993
Biodiversity Conservation
345
Biology
8466
Biophysics
8235
Biotechnology & Applied Microbiology
8619
Cardiac & Cardiovascular Systems
31082
Cardiovascular & Respiratory Systems
1386
Cell & Tissue Engineering
697
Cell Biology
11204
Chemistry, Applied
10944
Chemistry, Medicinal
8741
Chemistry, Multidisciplinary
18552
Clinical Immunology & Infectious Disease
454
Clinical Medicine
8956
Clinical Neurology
16632
Clinical Psychology & Psychiatry
1312
Critical Care Medicine
3207
Dentistry, Oral Surgery & Medicine
13512
Dermatology
7470
Developmental Biology
6919
Ecology
645
Education, Scientific Disciplines
2077
Emergency Medicine
4091
Endocrinology, Metabolism & Nutrition
24499
Engineering, Biomedical
3763
Entomology
450
Environmental Medicine & Public Health
4726
Evolutionary Biology
268
Gastroenterology & Hepatology
12230
General & Internal Medicine
6967
Genetics & Heredity
15101
Geriatrics & Gerontology
5133
Gerontology
370
Health Care Sciences & Services
16192
Health Policy & Services
651
Hematology
5611
Immunology
24748
Infectious Diseases
13994
Integrative & Complementary Medicine
2935
Medical Ethics
1221
Medical Informatics
2273
Medical Laboratory Technology
419
Medicine, General & Internal
44268
Medicine, Legal
532
Medicine, Research & Experimental
17751
Microbiology
23317
Mycology
0
Nanoscience & Nanotechnology
5456
Neuroimaging
1396
Neurology
4550
Neurosciences
39750
Nursing
9714
Nutrition & Dietetics
7868
Obstetrics & Gynecology
8295
Oncology
52282
Ophthalmology
9732
Optics
4271
Orthopedics
11781
Orthopedics, Rehabilitation & Sports Medicine
1818
Otolaryngology
1592
Otorhinolaryngology
4868
Parasitology
1143
Pathology
5114
Pediatrics
21645
Peripheral Vascular Disease
4831
Pharmacology & Pharmacy
35350
Pharmacology/Toxicology
12106
Physiology
8891
Polymer Science
533
Primary Health Care
871
Psychiatry
19086
Psychology
5220
Psychology, Applied
112
Psychology, Biological
389
Psychology, Clinical
812
Psychology, Developmental
244
Psychology, Educational
169
Psychology, Experimental
166
Psychology, Mathematical
0
Psychology, Multidisciplinary
1688
Psychology, Psychoanalysis
30
Psychology, Social
119
Public Health & Health Care Science
2248
Public, Environmental & Occupational Health
27099
Quantum Science & Technology
0
Radiology, Nuclear Medicine & Imaging
12409
Radiology, Nuclear Medicine & Medical Imaging
8116
Rehabilitation
3057
Remote Sensing
0
Reproductive Biology
2859
Reproductive Medicine
1196
Research/Laboratory Medicine & Medical Technology
3974
Respiratory System
7430
Rheumatology
6056
Social Sciences, Biomedical
1203
Substance Abuse
2753
Surgery
33804
Toxicology
4443
Transplantation
948
Tropical Medicine
300
Urology & Nephrology
13034
Veterinary Sciences
35
Virology
2505
Zoology
0
Channels
JPC-JOURNAL OF PLANAR CHROMATOGRAPHY-MODERN TLC
225
ADVANCES IN COLLOID AND INTERFACE SCIENCE
445
ANALYTICA CHIMICA ACTA
1
ANNUAL REVIEW OF ANALYTICAL CHEMISTRY
33
APPLIED ORGANOMETALLIC CHEMISTRY
246
CHEMISTRY-A EUROPEAN JOURNAL
1280
NATURE CHEMISTRY
673
NATURE REVIEWS CHEMISTRY
263
PROTEOMICS
116
CHEMOMETRICS AND INTELLIGENT LABORATORY SYSTEMS
0
JOURNAL OF MASS SPECTROMETRY
54
SLAS DISCOVERY
43
ULTRAMICROSCOPY
0
VIBRATIONAL SPECTROSCOPY
0
X-RAY SPECTROMETRY
64
ZEITSCHRIFT FUR ANORGANISCHE UND ALLGEMEINE CHEMIE
157
ANALYTICAL AND BIOANALYTICAL CHEMISTRY RESEARCH
96
EURASIAN CHEMICAL COMMUNICATIONS
347
JOURNAL OF ANALYSIS AND TESTING
162
PAKISTAN JOURNAL OF ANALYTICAL & ENVIRONMENTAL CHEMISTRY
90
SCI Abstract
search
ALL
RECOMMENDED
+
JustTLC TLC Analyzer to inform about leaves in the field—which won when benchmarked against high-performance liquid chromatography?
Thin-layer chromatography (TLC) with capability for identifying and quantifying analytes, offers a cost-effective and quic...
Jpc-journal Of Planar Chromatography-modern Tlc
comment
0
thumb_up
0
Greenness and whiteness assessment of a thin-layer chromatography‒densitometric method for the determination of three components in oromucosal spray
This study aimed to establish and validate a thin-layer chromatography (TLC)‒densitometric method that aligns with g...
Jpc-journal Of Planar Chromatography-modern Tlc
comment
0
thumb_up
0
Evaluation of the lipophilicity of morpholino propiophenones by reversed-phase thin-layer chromatography and computational methods
Lipophilicity is considered one of the most critical physicochemical properties as it significantly impacts the biological...
Jpc-journal Of Planar Chromatography-modern Tlc
comment
0
thumb_up
0
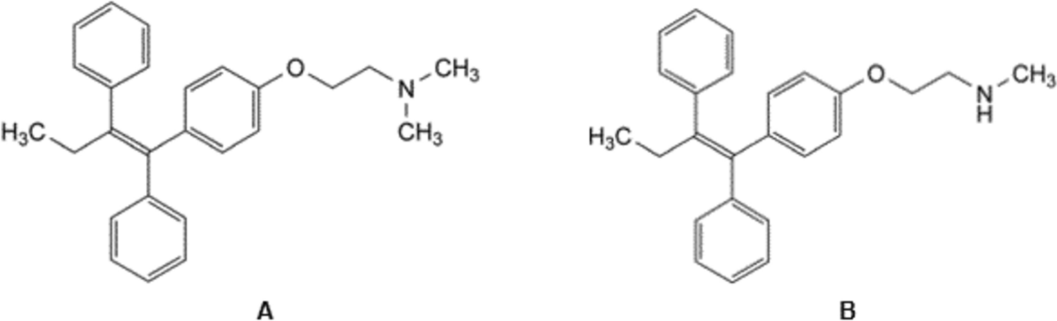
Development and validation of a method for the separation and determination of the -isomer and -demethyltamoxifen by thin-layer chromatography
Tamoxifen is a nonsteroidal selective estrogen receptor modulator (SERM), meaning that it acts as an anti-estrogen at estr...
Jpc-journal Of Planar Chromatography-modern Tlc
comment
0
thumb_up
0
Sawtooth thin-layer chromatography coupled with electrospray ionization mass spectrometry for detection of adulterants in traditional herbal medicines
Coupling thin-layer chromatography (TLC) with mass spectrometry (MS) is a useful technique for the detection of active con...
Jpc-journal Of Planar Chromatography-modern Tlc
comment
0
thumb_up
0
Isolation, identification, molecular docking and cytoxicity studies of antimicrobial compounds from (Blume) DC.
Ethnopharmacological studies of Ixora species demonstrate notable antimicrobial activity. This research compares the phyto...
Jpc-journal Of Planar Chromatography-modern Tlc
comment
0
thumb_up
0
Do-it-yourself, stand-alone, open-source nebulizer for derivatizations and bioassays in planar chromatography
High-performance thin-layer chromatography combined with chemical or biological assay detections (multi-detection) is a po...
Jpc-journal Of Planar Chromatography-modern Tlc
comment
0
thumb_up
0
Integrative high-performance thin-layer chromatography‒bioautography and Fourier transform infrared spectroscopy analysis for exploring the cosmeceutical potential of Serbian medicinal plants
The increasing demand for natural and sustainable cosmetic products has fueled interest in plant-based ingredients. Skin a...
Jpc-journal Of Planar Chromatography-modern Tlc
comment
0
thumb_up
0
Identification of antibacterial compounds in various Perillae folium chemotypes by high-performance thin-layer chromatography‒bioassay‒mass spectrometry
Perillae folium (PF) is widely used in both food and medicine, with considerable variation in its volatile oil composition...
Jpc-journal Of Planar Chromatography-modern Tlc
comment
0
thumb_up
0
In Memoriam of Professor Emeritus Dr. Danica Agbaba (1953 − 2024)
Professor Emeritus Danica Agbaba, PhD, full professor at the Faculty of Pharmacy, Uni...
Jpc-journal Of Planar Chromatography-modern Tlc
comment
0
thumb_up
0
Authenticity of Lycopodii Herba from its adulterant species by high-performance thin-layer chromatography and microscopic identification
Lycopodii Herba (LH), the dried whole plant of Lycopodium japonicum Thunb., is frequently confused with other plants withi...
Jpc-journal Of Planar Chromatography-modern Tlc
comment
0
thumb_up
0
Thin-layer chromatography in forensic analysis
The term “forensics” refers to the use of scientific knowledge to solve legal problems, especially the scienti...
Jpc-journal Of Planar Chromatography-modern Tlc
comment
0
thumb_up
0
Simultaneous quantification of quercetin and solasodine biomarkers from Linn. berry extract using a validated high-performance thin-layer chromatography‒densitometric method
Solanum nigrum Linn., a species belonging to the Solanaceae family, possesses a documented history of ethnobotanical appli...
Jpc-journal Of Planar Chromatography-modern Tlc
comment
0
thumb_up
0
A fast and selective method to determine biogenic amines in beers using high-performance thin-layer chromatography
This work reports the development and validation of a fast and selective high-performance thin-layer chromatography (HPTLC...
Jpc-journal Of Planar Chromatography-modern Tlc
comment
0
thumb_up
0
Keeping track of caffeine everyday consumption: high-performance thin-layer chromatography‒densitometric determination of caffeine in beverages and chocolates
This study investigated the caffeine content in a variety of beverages and chocolate products using a rapid and straightfo...
Jpc-journal Of Planar Chromatography-modern Tlc
comment
0
thumb_up
0
A validated and environmentally sustainable high-performance thin-layer chromatography method for the concurrent analysis of axitinib, pazopanib, crizotinib, ruxolitinib, and ibrutinib in bulk drug substances and pharmaceutical formulations
A simple, precise, environmentally friendly, and selective high-performance thin-layer chromatography (HPTLC) method has b...
Jpc-journal Of Planar Chromatography-modern Tlc
comment
0
thumb_up
0
Instrumental thin-layer chromatography method for the simultaneous estimation of gabapentin and nortriptyline hydrochloride in tablet dosage form
This study presents a novel instrumental thin-layer chromatography (TLC) method developed for the simultaneous quantificat...
Jpc-journal Of Planar Chromatography-modern Tlc
comment
0
thumb_up
0
Investigation of extraction procedure for lupeol from through experimental designing followed by similarity analysis of different parts
An important first step in isolating the bioactive ingredients from medicinal plants is extract preparation. Numerous para...
Jpc-journal Of Planar Chromatography-modern Tlc
comment
0
thumb_up
0
A validated high-performance thin-layer chromatography method for the simultaneous quantification of quercetin and gallic acid in Roxb. and correlating their content to its antioxidant activity
Cuscuta reflexa Roxb. has long been used in traditional medical systems in India and other nations against a wide range of...
Jpc-journal Of Planar Chromatography-modern Tlc
comment
0
thumb_up
0
A developed thin-layer chromatography method for the quantification of stigmasterol in leaves, stem and root of Linn., assessment of secondary metabolites and antioxidant activity
Stigmasterol, a phytosterol belonging to the class of tetracyclic triterpenes is present in Sida cordifolia. The present s...
Jpc-journal Of Planar Chromatography-modern Tlc
comment
0
thumb_up
0
Development of an ecofriendly thin-layer chromatography‒densitometry method for the simultaneous quantification of dapagliflozin propanediol monohydrate, sitagliptin, and metformin hydrochloride in tablet formulation using analytical ecoscale, GAPI, and AGREE tools
In recent years, green analytical chemistry (GAC) has played an important role in the development of environmentally frien...
Jpc-journal Of Planar Chromatography-modern Tlc
comment
0
thumb_up
0
Levels of 5-hydroxymethylfurfural (5-HMF) in molasses used as iron deficiency anemia supplement retailed in Türkiye
Molasses is a dietary supplement used for iron deficiency anemia (IDA). However, during its production and storage, a toxi...
Jpc-journal Of Planar Chromatography-modern Tlc
comment
0
thumb_up
0
Stability-indicating high-performance thin-layer chromatography method development and validation for pioglitazone hydrochloride and vildagliptin in active pharmaceutical ingredient and tablet dosage form
A method for determining the active pharmaceutical ingredient and combination dosage form of pioglitazone hydrochloride (P...
Jpc-journal Of Planar Chromatography-modern Tlc
comment
0
thumb_up
0
Thin-layer chromatography coupled with mass spectrometry for identification of degradants for phycocyanin
Phycocyanin is a natural pigment found in certain types of cyanobacteria (also known as blue-green algae) and some types o...
Jpc-journal Of Planar Chromatography-modern Tlc
comment
0
thumb_up
0
Recent applications of high-performance thin-layer chromatography (HPTLC) in forensic drug analysis
Forensic chemistry integrates analysis of toxic substances and drugs in either seized materials or biological samples and ...
Jpc-journal Of Planar Chromatography-modern Tlc
comment
0
thumb_up
0
Validated stability-indicating instrumental thin-layer chromatography method for the quantification of alizarin from Ayurvedic formulations
A validated stability-indicating instrumental thin-layer chromatography (TLC) method was developed to estimate alizarin fr...
Jpc-journal Of Planar Chromatography-modern Tlc
comment
0
thumb_up
0
Quantitative instrumental thin-layer chromatography method development of astragalin and its chemical diversity in different populations of Nyctanthes arbor-tristis L.
Astragalin (kaempferol-3-O-β-D-glucoside) is a naturally occurring flavonoid that has long been utilized as a critica...
Jpc-journal Of Planar Chromatography-modern Tlc
comment
0
thumb_up
0
Determination of acute sertraline intoxication by high-performance thin-layer chromatography
Sertraline (SRT) is frequently used in the treatment of depression and other psychiatric disorders owing to its low side e...
Jpc-journal Of Planar Chromatography-modern Tlc
comment
0
thumb_up
0
Stability-indicating high-performance thin-layer chromatography method development and validation for the simultaneous estimation of azithromycin, fluconazole, and secnidazole in active pharmaceutical ingredient and its tablet dosage form
For the simultaneous quantification of azithromycin (AZI), fluconazole (FLU), and secnidazole (SEC) in Combi-kit amount fr...
Jpc-journal Of Planar Chromatography-modern Tlc
comment
0
thumb_up
0
Finding evidence at drug-facilitated crime and drug-facilitated sexual assault scenes: determination of two benzodiazepine residues in beverages
In cases of drug-facilitated crime (DFC) and drug-facilitated sexual assault (DFSA), beverages often contain tasteless, co...
Jpc-journal Of Planar Chromatography-modern Tlc
comment
0
thumb_up
0
Load More
Modal title
×
Modal title
×
Share
Login
Global News and Health Forum
Join Now!
Member Login
Remember me
Forgot password?
Or using
Linkedin